HOME » 入れ歯・義歯
小岩の歯医者 宝田歯科今お使いの入れ歯に満足されてますか?
小岩の歯医者 宝田歯科今お使いの入れ歯に満足されてますか?
小岩の歯医者 宝田歯科今お使いの入れ歯に満足されてますか?
「入れ歯なんかどれも同じでしょ?」と諦めていませんか?
昔は入れ歯と言えば・・・「保険の入れ歯(プラスチック)」か「自費の入れ歯(金属)」しかありませんでしたが、小岩の歯医者さん「宝田歯科医院」では患者様のご要望やライフスタイルに合わせた様々な入れ歯・義歯のご提案させて頂きます。
入れ歯・義歯は、大きく分類して保険適用と保険適用外のタイプに分けられます。保険適用の入れ歯は決められている手法で制作しますが、その分患者様の費用負担は少なくなるのがメリットです。
一方、保険適用外であれば、患者様には様々な選択肢があります。費用は保険時と比較し上がりますが「しっかり噛める入れ歯」「ズレない入れ歯」など金額以上の満足感を体感していただけます。
気になることがございましたら、小岩の歯医者さん「宝田歯科」へお気軽にご相談ください。
小岩の歯医者 宝田歯科目立ちにくい入れ歯・義歯
小岩の歯医者 宝田歯科目立ちにくい入れ歯・義歯
小岩の歯医者 宝田歯科目立ちにくい入れ歯・義歯
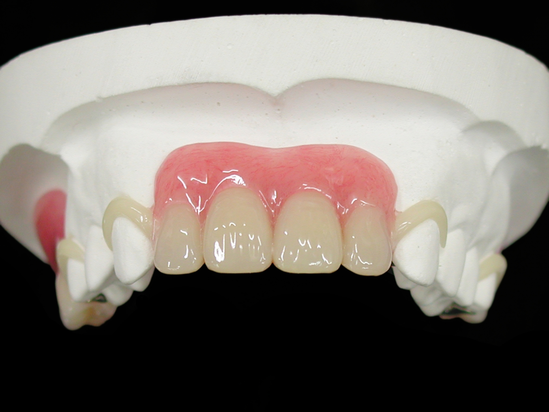
「バネが見えてイヤだなぁ~」「入れ歯ってバレるのが恥ずかしいなぁ~」など接客業や人と接する事が多い方は「目立たない入れ歯・義歯」を求める方が増えております。
金属のバネ(クラスプ)ではなく、白いプラスチックを使用した部分入れ歯の「ホワイトクラスプデンチャー」や金属の固定するバネを使わない入れ歯・義歯「ノンクラスプデンチャー」なら良く馴染むため、ほとんどの方は気づかれません。
「ホワイトクラスプデンチャー」「ノンクラスプデンチャー」をご検討されたい方は、小岩の歯医者さん「宝田歯科」へお気軽にご相談下さい。
ホワイトスクラプデンチャー
部分入れ歯の場合、保険治療だと隣の歯に金属のフックをかけて固定します。その部分を白いプラスチックにしたホワイトクラスプなら、目立ちにくくなります。強くて柔軟性があり、金属アレルギーの人にも最適です。

ノンクラスプデンチャー
歯にひっかける金属のバネを使わない入れ歯・義歯です。適度なしなやかさがあり、義歯床の厚さも薄くでき軽量。歯茎部分が半透明なので、装着すると自分の歯茎と馴染み、違和感がありません。素材も何種類かあり、欠損した歯の状態に合わせて形成可能です。

小岩の歯医者 宝田歯科しっかり噛める入れ歯作りの体制です
小岩の歯医者 宝田歯科しっかり噛める入れ歯作りの体制です
小岩の歯医者 宝田歯科しっかり噛める入れ歯作りの体制です
一般的に被せ物や入れ歯は「歯科技工士」という専門家が作り上げます。指示書のみならず歯科医師と信頼出来る歯科技工士が密に連携して、お一人おひとりあった入れ歯・義歯の製作を追求しています。
小岩の歯医者さん「宝田歯科」では快適で満足していただけるオーダーメイドの入れ歯作り体制を行っております。

