HOME » 審美歯科治療
小岩の歯医者 宝田歯科お口のコンプレックスをなくして笑顔に!
小岩の歯医者 宝田歯科お口のコンプレックスをなくして笑顔に!
小岩の歯医者 宝田歯科お口のコンプレックスをなくして笑顔に!
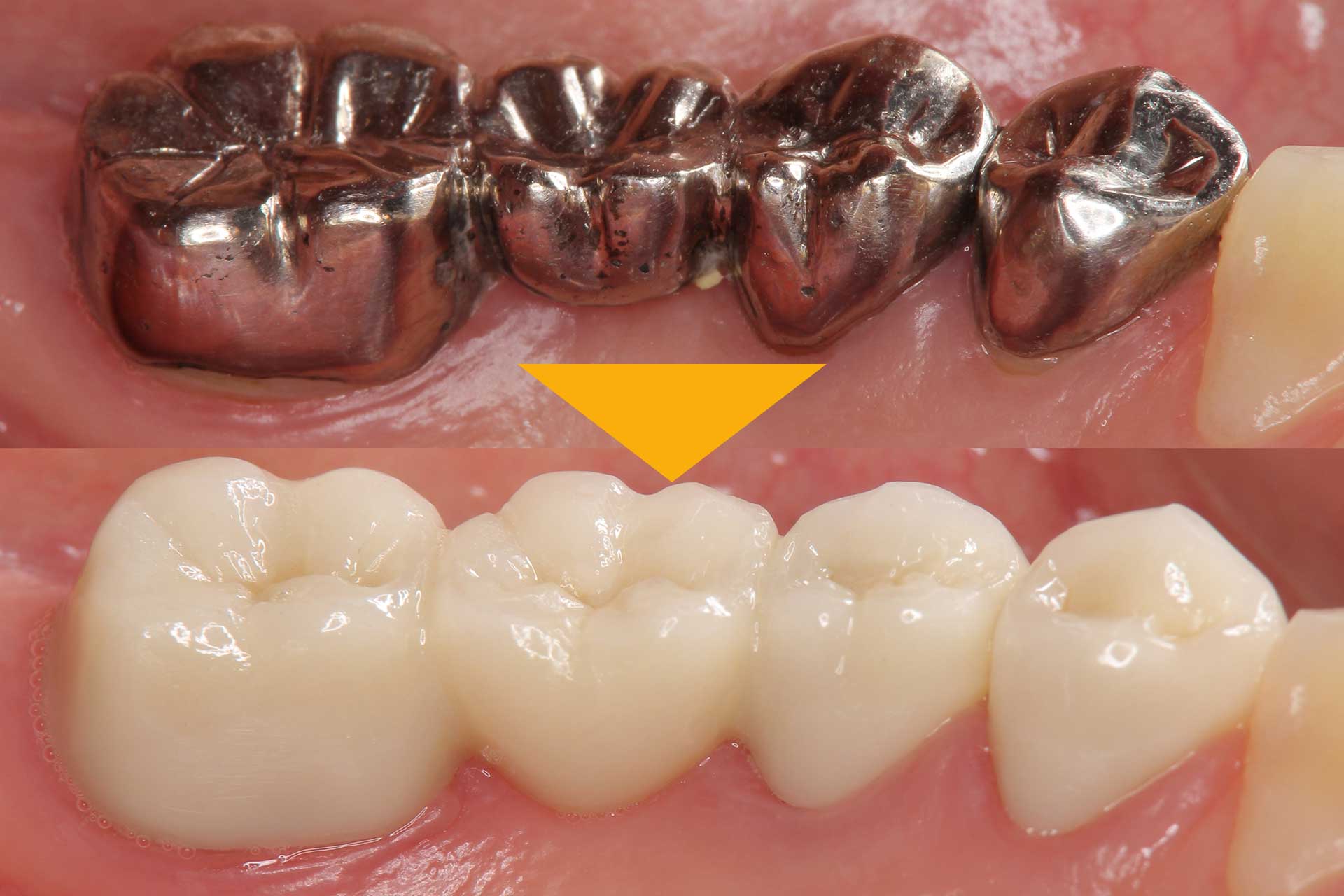
むし歯などの治療で詰め物や被せ物で銀歯を使う事が一般的でしたが、口を開けた時にキラッと銀歯が目立つ事のコンプレックスを感じている方は少なくありません。
小岩の歯医者「宝田歯科」では見た目を意識した自然の白さのセラミック治療(審美歯科治療)にする事が可能です。
治療法や様々な素材が増えて、選択肢が増えています。患者様一人一人のお悩みも様々です。小岩の歯医者「宝田歯科」では患者様のお悩みを解消できるよう、最良な治療法をご提案させていただきます。
むし歯などの治療で詰め物や被せ物で銀歯を使う事が一般的でしたが、口を開けた時にキラッと銀歯が目立つ事のコンプレックスを感じている方は少なくありません。
小岩の歯医者「宝田歯科」では見た目を意識した自然の白さのセラミック治療(審美歯科治療)にする事が可能です。
治療法や様々な素材が増えて、選択肢が増えています。患者様一人一人のお悩みも様々です。小岩の歯医者「宝田歯科」では患者様のお悩みを解消できるよう、最良な治療法をご提案させていただきます。
小岩の歯医者 宝田歯科詰め物と被せ物
小岩の歯医者 宝田歯科詰め物と被せ物
小岩の歯医者 宝田歯科詰め物と被せ物
むし歯になった歯の治療は基本的に虫歯を削り、穴が開いた場所を補う治療を行います。これを詰め物のことを「インレー」と呼びます。むし歯が進行して大きくなると、削る量も増えます。大きく削った時には、歯に重ねる被せ物を使用します。これを「クラウン」と呼びます。
歯をどの程度削る必要があるかで、詰め物か被せ物が決まります。詰め物も被せ物も、保険適用の材料と自費診療の材料があります。
保険適用の治療で使われる歯科金属は、通常「金銀パラジウム合金」と呼ばれるもので、いわゆる銀歯が使用されます。
しかし、近年金属アレルギーの審美性の問題からセラミックの歯に取り換えたいという患者様が増えております。
むし歯になった歯の治療は基本的に虫歯を削り、穴が開いた場所を補う治療を行います。これを詰め物のことを「インレー」と呼びます。むし歯が進行して大きくなると、削る量も増えます。大きく削った時には、歯に重ねる被せ物を使用します。これを「クラウン」と呼びます。
歯をどの程度削る必要があるかで、詰め物か被せ物が決まります。詰め物も被せ物も、保険適用の材料と自費診療の材料があります。
保険適用の治療で使われる歯科金属は、通常「金銀パラジウム合金」と呼ばれるもので、いわゆる銀歯が使用されます。
しかし、近年金属アレルギーの審美性の問題からセラミックの歯に取り換えたいという患者様が増えております。
セラミックインレー(詰め物)
セラミックインレーとは、虫歯治療で削った歯の欠損部分に詰める、陶器(セラミック)製の「詰め物」のことで、銀歯に代わって天然歯のような自然な白さと美しさを持ち、汚れがつきにくく金属アレルギーの心配もないのが特徴です。保険診療の銀歯より高価ですが、審美性、適合性、生体親和性に優れ、再発リスクの低減や金属アレルギーの心配もありません。

セラミッククラウン(被せ物)
陶材(セラミック)を100%使って作られ、天然歯のような自然な白さと透明感が特徴の審美性の高い治療法です。保険診療の銀歯より高価ですが、審美性、適合性、生体親和性に優れ、再発リスクの低減やカラダに優しい素材のため、金属アレルギーの心配もありません。

交野市の歯医者 宝田歯科セラミック治療の特徴について
交野市の歯医者 宝田歯科セラミック治療の特徴について
交野市の歯医者 宝田歯科セラミック治療の特徴について
特徴1
自然で美しい透明感

セラミックは透明感のある素材なので、自然な歯の色を再現することができます。天然の歯と見分けがつかない程美しい仕上がりになります。
特徴2
むし歯や歯周病のリスクが低い

セラミックは汚れが付着しづらく、虫歯や歯周病になりにくいです。天然の歯に近い硬さなので、割れにくいのも特徴です。
特徴3
金属アレルギーの心配なし

セラミックは陶材を使用しており、劣化しにくいことも特徴です。定期的にメンテナンスをしていれば長時間美しい歯を保つ事が出来ます。
特徴4
劣化しにくく長持ちしやすい

セラミックは金属を一切使用しないため、金属アレルギーの方やアレルギーが心配な方でも安心して治療を受けられます。
小岩の歯医者 宝田歯科審美歯科の症例
小岩の歯医者 宝田歯科審美歯科の症例
小岩の歯医者 宝田歯科審美歯科の症例



【相談内容】
バスから下車する時に転んでしまい、顔や口まわりの打撲で、外科からまわってきて、当院へ来られました。口の中を拝見すると前歯の欠損がみられました。
【治療内容】
ラミネートベニア2本
【治療期間・回数】
約1ヶ月
【費用】
○○,○○○円(税込)保険対象外
小岩の歯医者 宝田歯科ホワイトニングで歯を白く!
小岩の歯医者 宝田歯科ホワイトニングで歯を白く!
小岩の歯医者 宝田歯科ホワイトニングで歯を白く!
「歯を磨いているのに歯の黄ばみが気になる」「年齢を重ねるにつれて歯の黄ばみが気になってきた」と言う方も多いと思います。
歯が黄ばみやすい理由は様々です。コーヒーやお茶、赤ワインなどの着色性が高い飲み物は歯の表面に着色が付着しやすく、徐々に黄ばみの原因となります。
また中高年の場合は、食事は歯磨きによって歯の表面を覆う「エナメル質」がすり減り薄くなります。
「歯を白くしたい!歯の黄ばみをなんとかしたい!」などのようなご要望に有効なのが「ホワイトニング」です。
小岩の歯医者 宝田歯科当院のホワイトニングの特徴
小岩の歯医者 宝田歯科当院のホワイトニングの特徴
小岩の歯医者 宝田歯科当院のホワイトニングの特徴
当院で行うオフィスホワイトニングは、「ポリリン酸ホワイトニング」を採用しております。ポリリン酸ホワイトニングは、歯本来の自然な白さを引き出す効果があるため「白くならない」のではなく、「自然な白さを取り戻す」のです。
従来のホワイトニング方法との違いは、2つにあります。
◎「ホワイトニング剤の成分」の違い
ポリリン酸ホワイトニングと従来のホワイトニングとの主な違いは「成分」です。
ポリリン酸ホワイトニングは、ポリリン酸を使用した特別なホワイトニング剤を用います。ポリリン酸は歯に優しく、痛みを伴わずに歯を自然な白さにする事が出来ます。
一方で、従来のホワイトニング方法として多く用いられているのが「過酸化水素」を使用したホワイトニング剤で、歯を漂白するため、真っ白にはなりますが歯のダメージが大きい点がデメリットです。
◎ポリリン酸ホワイトニングは「表面の着色汚れ」に効果を発揮する
従来のホワイトニングは「歯の内部の漂白」を主としますが、ポリリン酸ホワイトニングは「歯の表面の着色汚れの除去」に効果を発揮します。そのため、本来の美しい白さを取り戻すことが可能です。
歯の表面には日々の歯磨きでは取り除けない汚れが溜まっていますが、ポリリン酸ホワイトニングは専用ジェルでクリーニングします。
従来のホワイトニングは施術後に着色しやすく、食事制限も必要でした。ポリリン酸ホワイトニングでは食事制限の必要はありません。「歯をコーティングする」ポリリン酸特有の性質で、施術後の着色を防ぎます。

小岩の歯医者 宝田歯科ポリリンホワイトニングの症例
小岩の歯医者 宝田歯科ポリリンホワイトニングの症例
小岩の歯医者 宝田歯科ポリリンホワイトニングの症例



【相談内容】
重度の歯周病で来院されました。歯周病の暫間固定処置をしておりますが、75歳の高齢者でもホワイトニングは可能かしら?ご相談されました。
どうしても歯周病び暫間固定処置をしているので歯間のラインは不鮮明ですがホワイトニングを行いました。(※右下は義歯が入っております。)
まず上顎のみホワイトニングを行い、その後1週間後下顎のホワイトニングを行いました。
患者様は歯周病固定と義歯を装着していてもホワイトニングで歯が白くなっていくことで、毎日が楽しくなり、自然に笑顔が増えてくるとおっしゃっておりました。
【治療内容】
ホワイトニング
【治療期間・回数】
約1ヶ月 回
【費用】
○○,○○○円(税込)保険対象外


【相談内容】
小臼歯の部分の黄ばみが目に付くため、白くしたいとご相談を受けました。
小臼歯は白くするには少し時間がかかるため、徹底したクリーニングと繰り返しのホワイトニングをさせて頂きました。
【治療内容】
ホワイトニング
【治療期間・回数】
約1ヶ月 回
【費用】
○○,○○○円(税込)保険対象外

